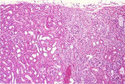
Infarct - Kidney

Figure 243. Infarct - Kidney