About   Help   FAQ
Phenotype Image Detail
Image
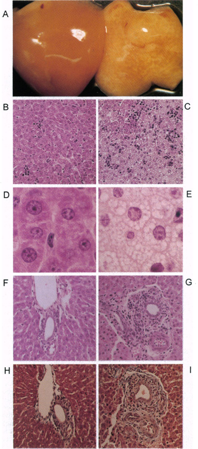
Caption A: Macroscopic appearance of livers from 1 week old wild type (all at left) and Ahrtm1Bra/Ahrtm1Bra (all at right) mice. B & C: Hematoxylin and eosin stained sections of livers from 1 week old wild type and homozygous mutant mice demonstrating extensive microvesicular fatty metamorphosis and extramedullary hematopoiesis in the homozygous mice. D & E: Higher power view of 1 week old wild type and mutant mouse livers. F & G: Hematoxylin and eosin stained liver sections from 2 week old wild type and homozygous mutant mice demonstrating hypercellularity and fibrosis of the portal tract in the homozygous mouse. H & I: Trichrome staining for connective tissue highlighting the portal fibrosis in the homozygous mouse versus the wild type mouse liver.
Copyright This image is from Schmidt JV, Proc Natl Acad Sci U S A 1996 Jun 25;93(13):6731-6. Copyright 1996 National Academy of Sciences, U.S.A. J:33827
Associated
Alleles
Symbol Name
Ahrtm1Bra aryl-hydrocarbon receptor; targeted mutation 1, Christopher A Bradfield
Associated
Genotypes
Allelic Composition Genetic Background
Ahrtm1Bra/Ahrtm1Bra involves: 129S1/Sv * 129X1/SvJ * C57BL/6

Contributing Projects:
Mouse Genome Database (MGD), Gene Expression Database (GXD), Mouse Models of Human Cancer database (MMHCdb) (formerly Mouse Tumor Biology (MTB)), Gene Ontology (GO)
Citing These Resources
Funding Information
Warranty Disclaimer, Privacy Notice, Licensing, & Copyright
Send questions and comments to User Support.
last database update
12/30/2025
MGI 6.24
The Jackson Laboratory